La ecografía del tercer trimestre

Comprueba el bienestar fetal del bebé

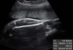
En la ecografía del tercer trimestre es muy difícil extraer una imagen completa del bebé. Rara vez se las apaña el ecografista para poder captar una "foto panorámica" de una criatura, que ya ocupa casi la totalidad del útero materno. Por eso, la mayoría de las ecos de esta edad gestacional se especializan en partes u órganos específicos del feto. El ecografista puede detectar aún ciertas anomalías del desarrollo, comprueba el líquido amniótico, el bienestar fetal y, muy importante, visualiza el cordón umbilical, que puede estar enrollado en algún órgano como cuello, pies o manos.