Ecografía de 12 semanas: Gemelos en dos bolsas
Cada uno crece con su propia placenta
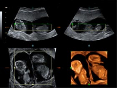
La ecografía en 3D de un embarazo gemelar muestra como los dos fetos crecen cada uno en una bolsa amniótica distinta, con su propia placenta. Los embarazos múltiples suelen conllevar más complicaciones que los embarazos únicos.

Gemelos de 12 semanas
La membrana de separación es claramente visible, más en la parte superior, donde se aprecia una cuña de tejido placentario (*). Esto indica que existen dos bolsas y dos placentas, la mejor situación para un embarazo gemelar. Cuantos más elementos comparten, más complicaciones puede tener la gestación.
Ecografía Embarazo 2D y 3D Semana 12 - MALFORMACIONES FETALES
Ecografía Embarazo 4D Semana 12 - MALFORMACIONES FETALES









